Prevalentemente nuvolosoRoma17°
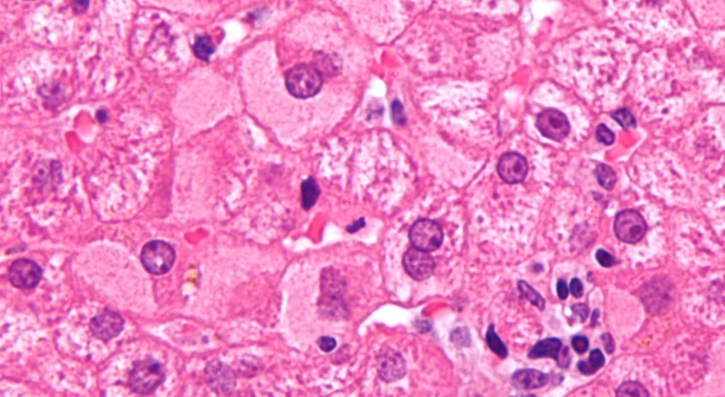
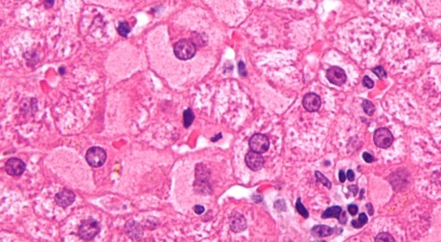
Epatite A, salgono a 53 i pazienti ricoverati al Cotugno di Napoli4Foto1Video© ilmessaggero.it

Epatite A, salgono a 53 i pazienti ricoverati al Cotugno di Napoli

, 4 notizie, 3 visualizzazioni

I medici rassicurano: "I numeri sono sopra la media ma non c'è nessuna epidemia". In ogni caso l'impennata di casi di epatite A, concentrata tra Napoli e provincia, continua a suscitare preoccupazione e, soprattutto, a raccomandare prevenzione. I ricoverati nell'ospedale Cotugno, presidio infettivologico di riferimento, sono saliti oggi a 53 rispetto ai 50 di ieri: tutti casi non gravi, ripetono i sanitari insistendo però sull' esigenza di massima attenzione nel rispetto delle raccomandazioni.

Vaccinare i soggetti fragili, è il consiglio degli esperti, e soprattutto evitare assolutamente il consumo di frutti di mare crudi: le ordinanze di divieto nei pubblici esercizi si moltiplicano, da Napoli a Benevento ad Avellino. Di pari passo sono crollati oggi gli acquisti nelle rivendite al dettaglio: la vendita di frutti di mare regolarmente tracciati non è vietata e il consumo del prodotto ben cotto è ritenuto sicuro, ma il virus della preoccupazione è più contagioso di ogni vibrione e quindi pescherie e grande distribuzione lamentano il brusco calo degli acquisti.

I carabinieri del Nas intensificano i controlli e i sequestri dei mitili di cui non è possibile stabilire la provenienza, proibiti in ogni circostanza ma ora ritenuti a maggior ragione pericolosi. Ai frutti di mare crudi, probabilmente consumati durante le feste natalizie considerando la lunga incubazione della malattia, sembra riferita la stragrande maggioranza dei contagi.